Tratamentos Dentários
Oferecemos tratamentos personalizados, com qualidade, tecnologia e atenção aos detalhes. Aqui, cada procedimento é pensado para sua saúde bucal, conforto e bem-estar.
Facetas em Resina


Transforme seu sorriso com facetas em resina personalizadas e de alta qualidade




Clareamento Dental
Clareie os seus dentes com segurança. Seguimos um protocolo personalizado para cada paciente
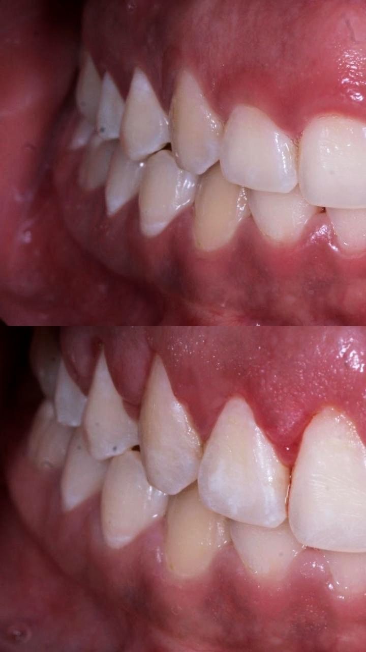
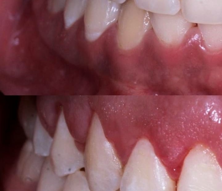
Cuidado essencial para manter gengivas saudáveis e um sorriso sempre limpo
Profilaxia Dental


Restaurações
Recuperação da forma e função dos dentes com estética, precisão e técnicas modernas para resultados duradouros










Microabrasão
Tratamento minimamente invasivo que remove manchas brancas e melhora a estética do esmalte com suavidade e segurança
Gengivoplastia
Transforma o contorno gengival com sutileza, trazendo mais simetria e leveza ao sorriso.
Coroas, onlays e inlays
Reabilitação de dentes comprometidos com materiais de alta performance e resultado estético
Placas para bruxismo
Confeccionadas sob medida para proteger os dentes do desgaste causado pelo apertamento dental
Outros tratamentos
Outras especialidades odontológicas
Obrigada Dr.ª Isabela pelo atendimento! Amei ainda mais o meu sorriso. Super indico!! Muito prestativa, educada e inteligente, tirou todas minhas dúvidas.
Taina Rodrigues

★★★★★
SERVIÇOS
Profilaxia dental
Clareamento dental
Facetas em resina composta
Microabrasão
Restaurações
Coroas, onlay e inlays
Toxina botulínica
Harmonização facial
Placa para bruxismo
Outros
LOCALIZAÇÃO
Telefone/Whatsapp:
(11) 92066-3276
Email: spigariol.odontologia@gmail.com
© 2026. Isabela Spigariol. Todos os direitos reservados.
Contato
Av. Brigadeiro Luís Antônio, 2909 - Jardim Paulista, São Paulo - SP, 01401-000
